腦部長「豬囊尾蚴」昏迷 腦部磁振造影抓出病灶
2020/03/30 12:05 記者邱書昱/新北報導
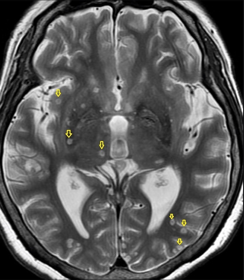
磁振造影檢查顯示,腦部有許多小黑點。(台北慈濟醫院提供)
一名68歲蕭媽媽患有糖尿病、高血壓等慢性疾病,近期出現倦怠無力、胃口不佳的感覺,直到有天突然意識不清,被送往台北慈濟醫院急診,經過影像醫學部主任許元昱以腦部磁振造影檢查,發現腦部長滿「豬囊尾蚴」的寄生蟲,經過治療後40天才順利出院。
許元昱表示,該名個案到院後被診斷出發燒、肺部膿瘍發炎、血糖過高及輕微腦萎縮的情形被收治住院,7天過後病症都控制,仍依然昏迷;事後個案恢復意識後,稱自己半年前曾到東南亞旅遊吃生豬肉,醫療團隊確定狀況就是寄生蟲轉移宿主導致。
許元昱說明,「豬囊尾蚴」是原生於豬隻的寄生蟲,會因人們生食或食用未煮熟的豬肉而轉移宿主,可寄生在人體腦、脊髓或肌肉中;「豬囊尾蚴」可一直存活在人體內,並在人體內繁殖,若進入腦組織,會搶腦部的養分、血液,引起周圍腦組織發炎,若延誤治療嚴重會危急生命。
他說,治療「豬囊尾蚴」必需持續施以抗寄生蟲藥物至少兩周至一個月,才能有效殺蟲,由於寄生蟲食入初期,並不一定會立即影響身體,但可能因繁衍數量增加影響身體器官,或於免疫力降低時造成不適。
另外,許元昱說,磁振造影即過往所稱的「核磁共振」檢查,磁振造影的組織對比、解像能力比電腦斷層高,所以能看到腦中極微小的阻塞、出血、發炎或血管病變。
他也說,過往診斷豬囊尾蚴蟲的方式是取出部分腦組織化驗,不僅技術困難且有傷害腦組織的風險,直到2017年國際放射線醫學會修正診斷準則,只要腦部磁振造影影像顯示有小於2公分的圓影,裡面有小黑點或沒有小黑點,但顯示有大型病灶,且有生食豬肉生活史者,便可直接診斷,盡快給予有效的抗寄生蟲藥物治療。
許元昱說,磁振造影即過往所稱的「核磁共振」檢查,磁振造影的組織對比、解像能力比電腦斷層高。(台北慈濟醫院提供)
