-
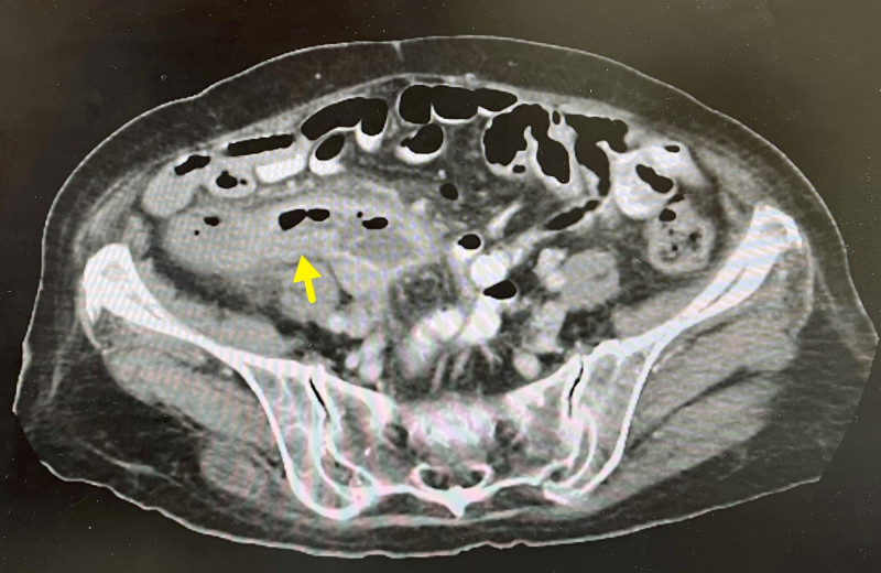
健康網》肚子痛以為是小事? 醫竟檢出雙腫瘤
2026/03/24 14:16一位年近50歲的病患,半年來因為患者因為左下腹痛,一開始被當作泌尿道感染治療,症狀仍沒有改善,最後經過腹部超音波檢查,竟查到肝臟與大腸都有腫瘤!樹林現代腸胃科診所醫師何汶璁提醒,如果民眾的腹痛或腹脹症狀反覆,而且超過2週,最好進行進一步的精密診斷。
-
健康網》不吃肉可防大腸癌? 營養師揭關鍵:吃法錯誤仍無效
2026/03/23 06:24為了降低罹癌風險,不少人平時飲食會以「植物性飲食」為主,這樣的觀念是只要不吃肉,比較不容易得大腸癌。然而,營養師謝宜芳指出,方向上有幫助,不過重點不只少肉,而是能兼顧整體飲食品質。一旦吃素多以白麵包、糕點、甜點等精製澱粉、高糖飲料、油炸素料,或是超加工食品,雖也算是植物性,未必具備保護效果。
-
健康網》身體不痛竟癌症3期 腸胃醫示警:2癌靜悄悄奪命
2026/03/20 14:05「醫師,我什麼感覺都沒有,怎麼一檢查就是三期?」雲林長庚醫院肝膽胃腸科主治醫師卓韋儒表示,這是臨床上最不忍心聽到的一句話。很多人以為癌症一定會「很痛」,但事實恰好相反。早期的胃癌與大腸癌,往往在體內靜音操作,幾乎沒有明顯不適,等到出現疼痛、食慾下降或阻塞症狀時,病灶往往已進展病到影響腸道或慢性出血,
-
糞便潛血陽性別拖 逾6個月未做大腸鏡罹癌風險增30%
2026/03/18 14:35大腸癌早期多無明顯症狀,往往等到出現腹痛、血便等不適才就醫,已進展至晚期。國民健康署指出,依2023年癌症登記及2024年死因統計,大腸癌為國人發生人數第2位、死亡人數第3位癌症。隨著3月全球大腸癌防治月到來,國健署提醒,符合資格民眾應定期接受篩檢,尤其糞便潛血檢查結果若為陽性,務必儘早接受大腸鏡檢
-
健康網》排便老是排不乾淨?竟罹罕見「同時性大腸癌」 這族群注意
2026/03/15 20:09一名病患半年來一直覺得怪怪的,頻跑廁所總覺得排不乾淨,有時一天要跑好幾趟廁所才行,他自覺體重沒有下降,食欲不錯,應該沒什麼大問題。肝膽腸胃科醫師張振榕指出,大腸鏡檢查竟發現兩處腫瘤,確診為罕見「同時性大腸癌」。他警告,發生率約佔所有大腸癌病例之3–5%,好發於高齡族群及男性。
-
健康網》糞便篩檢陽性拖8年才做大腸鏡 病人結果讓醫嚇到
2026/03/08 16:18不少人做完糞便潛血檢查後,因為沒有明顯不適而忽略追蹤,博田國際醫院胃腸肝膽科醫師吳宗勤指出,糞便潛血陽性,每延遲 6 個月做大腸鏡,罹患大腸癌的風險就增加 30%,近日一名患者將陽性報告放了8年才就醫,檢查結果令人震驚。吳宗勤在臉書專頁「腹內的日常 吳宗勤醫師」發文分享,近期有位糞便篩檢陽性的病人,
-
經典賽開打辭世》林將曾出現血便 醫揭7大警訊很多人都忽略
2026/03/07 20:26前中華職棒聯盟秘書長、前中華成棒隊領隊林將(巴俗)在世界棒球經典賽開打當天於花蓮辭世,他罹患大腸癌復發轉移至肝臟。根據台北市衛生局衛教資料指出,大部分的大腸瘜肉沒有症狀,偶爾會出現出血、排便習慣改變、腹痛等非特異性症狀,因此常常忽略。林將在臉書上提及,去(2025)年8月間又發生血便,當時他的心情很
-
健康網》6種老人病提早上門 盯上了3、40歲年輕人
2026/03/06 14:21「老人病」正悄悄接近年輕人!胸腔暨重症醫學科醫師黃軒表示,罹病的關鍵在於「長期風險暴露的結果」,過去覺得在60歲才會發生的疾病,正悄悄地在3、40歲提前上門。黃軒在臉書專頁「黃軒醫師 Dr. Ooi Hean」發文提出,這些病的共通點是:身體正在慢性發炎、代謝失衡、久坐、睡眠不足、長期壓力等,這些生
-
小心「同步性病變」!研究:2種腸道瘜肉增加癌前病變風險
2026/03/04 12:23澳洲一項研究發現,2種不同類型的腸道息肉與晚期癌前病變風險顯著升高有關,並將同時患有這2種瘜肉稱為「同步性病變」(synchronous lesions)。此研究發表在《胃病學》期刊上。根據科學網站《SciTechDaily》報導,大腸癌許多病例始於瘜肉,瘜肉通常是腸道內壁上的良性腫塊,可在造成損害
-
大腸鏡檢前吃錯難清乾淨 醫:滷肉飯其實是低渣
2026/03/04 08:33前教育部政務次長葉丙成近日在臉書發文表示,因為要體檢需進行低渣飲食,卻發現竟有醫師建議檢查前其實可以吃滷肉飯,讓他十分疑惑,也引發不少網友討論。許多民眾直呼「不是只能吃清粥嗎?」、「吃滷肉飯不會清不乾淨?」讓大腸鏡檢查前的飲食準備再度掀起話題。
-
健康網》吃素竟成大腸癌高風險? 醫揭5大健康盲點
2026/03/01 09:18吃素反而容易得大腸癌?基隆長庚醫院肝膽腸胃科醫師錢政弘指出,在臨床上,確實遇到不少長期茹素、少吃肉,卻還是被大腸癌找上門的案例,不過,這項科學研究還須要更多證據才能下結論。錢政弘在臉書專頁「錢政弘 胃腸肝膽科醫師」發文指出,一項刊登於《英國癌症期刊》(British Journal of Cance
-
純素更健康?研究揭大腸癌風險增 營養師:別忽略「素料」
2026/02/27 13:00純素更健康?一項刊登於《英國癌症期刊》(British Journal of Cancer)的跨國大型研究,整合英國、美國、台灣與印度等地9個世代、超過180萬人資料,分析不同飲食型態與17種癌症風險的關聯。結果顯示,部分非肉類飲食與多種癌症風險降低相關,但純素者(vegan)的大腸直腸癌風險增加,
-
健康網》沒血便也會中鏢 醫分析「右側大腸癌」風險
2026/02/25 14:21一位5旬中年男性,沒有明顯不適,也沒有任何腸胃道症狀,由於從未做過大腸鏡檢查而就醫。日日晴內科診所院長傅家駒指出,經過進一步檢查竟驚覺,在升結腸末端,看到了大腸癌,且肝臟有許多大小不一的腫瘤,已合併肝轉移。他提醒,「右側大腸癌」的症狀往往非常不明顯,呼籲民眾最好定期做大腸鏡篩檢。
-
健康網》LUNA SEA真矢鼓聲成絕響 醫籲高風險族做大腸鏡
2026/02/23 12:58日本視覺系搖滾天團「LUNA SEA」月之海發表聲明宣布鼓手真矢病逝,享年56歲,真矢在2020年被診斷出大腸癌4期,積極對抗病魔接受7次手術,如今鼓聲竟成絕響。據此,有民眾關心如何篩檢大腸癌?東元綜合醫院高級健檢中心主任林洋鈺指出,糞便潛血對於大腸癌的偵測有限制,只有約7成大腸癌會在檢查中呈現陽性
-
曾演出《被出賣的台灣》 詹姆士范德比克大腸癌病逝享年48歲
2026/02/12 06:51以《戀愛時代》走紅,還曾演出《驚聲尖笑》、《被出賣的台灣》等電影的美國男星詹姆士范德比克(James Van Der Beek)驚傳過世消息,享年48歲。美國《CNN》報導,詹姆士范德比克罹患大腸直腸癌3期,最後不敵病魔過世,家屬在他社群媒體發文寫下:「我們摯愛詹姆士范德比克安詳過世,他以勇氣、信念
-
大腸癌為何難治? 免疫細胞竟分「內鬼」與「好警察」
2026/02/11 11:22癌症免疫治療在多數癌症中奏效,但大腸直腸癌卻常常「打不動」,長年讓醫師傷透腦筋。美國頂尖癌症中心最新研究終於解開謎團:關鍵不在免疫細胞的多寡,而在於其中混進了幫腫瘤做事的「內鬼」。過去醫學界普遍認為,腫瘤內的「調節性T細胞」(Treg)越多,代表免疫反應被壓制、癌症越難治。但臨床數據卻顯示,大腸癌剛
-
腸炎為何更易變癌? 研究解讀「白血球倒戈」關鍵機制
2026/02/10 11:02長期患有發炎性腸道疾病(IBD)的患者,為何罹患大腸癌的風險遠高於常人?這個困擾醫界多年的難題,近期有研究提出了新的機制線索。美國威爾康乃爾醫學院(Weill Cornell Medicine)發表於期刊《免疫》(Immunity)的研究指出,關鍵不只在腸道本身,而是可能涉及全身的「免疫連鎖反應」:
-
高油鹽飲食埋大腸癌隱憂 醫師籲定期篩檢及早發現
2026/02/05 18:521名68歲李姓男子平時喜歡食用高油鹽的加工食品,近來出現頭暈、爬樓梯易喘的情形,到台北慈濟醫院大腸直腸外科看診,確診為大腸癌第3期,在院方安排腹腔鏡右半結腸切除術,後續規劃術後輔助性化療後,恢復良好,醫師提醒民眾把握公費篩檢資源,才能及早發現、治療。
-
苗栗推無痛大腸鏡補助 上千元健康大紅包等你領
2026/01/29 10:02苗栗縣大千綜合醫院與苑裡李綜合醫院攜手響應「無痛大腸鏡檢查補助」,推出上千元健康大紅包,鼓勵民眾及早檢查大腸癌。苗縣府衛生局表示,凡在兩院及其體系醫療院所接受糞便潛血檢查呈陽性者,可申請無痛式大腸鏡檢查麻醉費用補助,每家醫院各提供100名名額。衛生局提醒,收到異常報告的民眾應儘速回診,名額有限,先搶
-
研究:一生飲酒量與癌症相關 戒酒可能降低罹癌風險
2026/01/27 11:32飲酒與大腸直腸癌風險增加相關,而美國和英國一同進行的研究發現,一生中的飲酒量也起到關鍵作用,而戒酒可能降低罹癌風險。此研究發表在《癌症》期刊上。根據科學網站《SciTechDaily》報導,來自美國國家癌症研究所、賓州大學佩雷爾曼醫學院(Perelman School of Medicine)全球健
