-
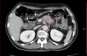
5旬男長期酗酒又有糖尿病 查出罹胰臟癌2期
2026/04/13 19:5652歲男性有糖尿病史,近1個多月持續腹部悶痛,竟被查出胰臟腫瘤達3.5公分(2期),澄清醫院內分泌科主任林幸宜表示,糖尿病患者若有酗酒習慣,誘發胰臟癌風險可能增加2倍,尤其新發糖尿病會誘發胰臟疾病,呼籲保持良好血糖控制,不僅能降低罹癌風險,也能減輕癌症併發症、提高存活率。
-
健康網》吸收不良恐影響全身健康 醫:出現這些症狀要注意
2026/04/13 13:26不少民眾常將「腸胃不適」通稱為消化不良,然而,有可能將吸收不良誤認為是消化不良。內科醫師梁程超指出,最常見的「消化不良」多與進食太快有關,但若出現長期腹瀉、體重下降甚至脂肪便,可能已進展為「吸收不良」,代表腸道或胰臟功能出問題,應及早就醫檢查。
-
1/3成人有脂肪肝 控制飲食、運動有機會逆轉
2026/04/1328歲電子工程師,因為工作常需熬夜加班,還常吃速食、少運動。在某一次公司體檢時,赫然發現他有中度脂肪肝。就醫後,在詳細衛教、生活作息調整半年後,脂肪肝才慢慢改善,他承諾會持續追蹤,並好好照顧肝臟健康。超音波檢查可及早發現脂肪肝是現代人常見的問題,當肝臟脂肪含量超過約5%時,就可能被診斷為脂肪肝。根據
-
健康網》水果鮮甜 高纖卻高糖!營養師:注意6水果
2026/04/12 07:30愛吃水果的你,當心別掉入「甜蜜陷阱」。營養師陳珮淳於臉書粉專「熊抱營養師|珮淳」表示,為了減重、顧腸道,許多人會特別選擇「高纖水果」。但你是否發現,有些水果吃起來帶有纖維感,卻同時甜得驚人?陳珮淳提醒,「高纖」並不等於「低糖」,。陳珮淳表示,水果中的纖維(如果膠、纖維素)構成果實的結構,而糖分(如果
-
健康網》一度停藥腫瘤暴衝! 蕭淑慎十二指腸基質瘤罕病再動刀
2026/04/11 23:5749歲蕭淑慎近年來勇敢對抗「十二指腸基質瘤」,日前再度動手術,目前她為了抗癌,已切掉1/3的胃、十二指腸,連膽和胰臟頭都切除。根據台北榮總衛教資料指出,手術切除範圍一般為局部切除。蕭淑慎在2020年確診罕見的「十二指腸基質瘤」(惡性腫瘤),當時發現8.7公分大的腫瘤,即進行「惠普式手術」切除多項消化
-
健康網》不只食物怕中毒! 當心免洗餐具3大隱形污染源
2026/04/11 22:46重視食安不僅要注意食物衛生,避免發生食物中毒,經常使用的免洗餐具,其實也不可輕忽。營養師黃雅鈺表示,一般常見免洗湯匙都是裸裝,不僅會直接接觸許多人的手,也可能沾染金黃色葡萄球菌、沙門氏菌、飛沫病毒,成為隱形食安傳染源。除建議盡量自備餐具,使用免洗餐具時,可使用流水或洗碗精簡單清洗,有助減少病菌量。
-
健康網》胃食道逆流4症狀 醫:食道恐反覆受損
2026/04/11 18:17消化內科醫師舒敬軒在臉書粉專「舒敬軒醫師 胃腸肝膽科 - 宜蘭仁宏診所、羅東博愛醫院」表示,若你也經常「咳不停、聲音啞」很可能是胃部在求救;並提醒下列症狀,需格外小心:慢性咳嗽、氣喘、聲音沙啞與牙齒酸蝕。若你常察覺:感冒好了卻還是慢性咳嗽;早起喉嚨卡卡、聲音沙啞,甚至連牙醫都說你牙齒酸蝕嚴重。別以
-
健康網》「橄欖油加檸檬汁」韓星超愛喝 藥師:幫身體滅火
2026/04/11 13:12韓星的日常生活與飲食,總能帶起粉絲以及所有人的關注與仿效,據報導,韓國女團成員張員瑛自己會喝「特級初榨橄欖油,加上檸檬汁」來保養自己的臉蛋,在韓國被稱為「Olle Shot」。真有這麼神?藥師陳澤鈞於「肌情藥師-藥師How棒」表示,現在的生活環境,造成多數人身體都處在「低度慢性發炎」的狀態,如果你容
-
健康網》腸胃罷工怎麼吃 醫:早期進食促進修復
2026/04/11 12:45近期發生兩起重大食安意外,清爽的潤餅(春捲)與天天都要吃的便當都有狀況。斗六成大心臟內科醫師蘇奕嘉於臉書粉專「奕嘉醫師談心室」表示,近期環境潮濕,細菌容易孳生,也是腸胃型感冒盛行的季節。面對突如其來的「胃腸大罷工」,許多人第一反應是:「醫師,我是不是該空腹一天讓腸胃休息?」事實上,根據《JAMA》與
-
健康網》「沙門氏菌」不只害腹瀉 醫:恐釀關節炎
2026/04/11 11:20近日食安問題嚴峻,國內傳出重大食安意外,清爽的潤餅(春捲)與天天都要吃的便當都有狀況。其中發生在新北新店的便當店食物中毒案,共有11人呈現「沙門氏菌」陽性反應,後續將依照《食品安全衛生管理法》相關規定移送檢調單位偵辦。台北市立聯合醫院中興院區醫師姜冠宇在臉書粉專「姜冠宇醫師」表示,「沙門氏菌」不是只
-
健康網》燕麥奶、檸檬水都上榜!養胃做錯更傷胃 醫揭3地雷
2026/04/11 10:18現代人重視養胃,但不少看似健康的飲食習慣,反而可能成為腸胃負擔。雲林長庚醫院肝膽胃腸科主治醫師卓韋儒指出,真正的養胃,不是盲目塞進「聽起來健康」的東西。3種常見養胃迷思,包括:喝燕麥奶、空腹飲用醋或檸檬水、愛吃粥,對於腸胃較弱或已有胃部問題的人來說,不僅容易造成脹氣等不適,長期下來,也可能加重胃食道
-
健康網》春捲案百人中招 營養師:3類食物最易藏沙門氏菌
2026/04/11 10:10清明連假期間爆發高雄春捲案,造成173人陸續出現腹瀉、嘔吐、發燒等症狀,驗出是沙門氏菌惹的禍。好食課營養師李宜樺(Anna)表示,沙門氏菌是人畜共通傳染病,但是並不耐熱,食物充分加熱便可殺菌。沙門氏菌主要發生於受污染的高蛋白質食品,如生蛋或半熟蛋、含生蛋食品、乳品或豆類食物等,均須當心。此外,她也提
-
健康網》瘦瘦針還不夠 減重醫:8習慣幫你智勝肥胖
2026/04/11 08:32近年「瘦瘦針」引發熱烈討論,那麼打過之後該怎麼吃?打了瘦瘦針,就可以隨便亂吃嗎?減重醫師蔡明劼在臉書粉專「蔡明劼醫師 健康。瘦身」表示,權威研究指出,做到這8項才有最大健康效益。最近瘦瘦針超級夯,很多人問:既然打針就能降血糖、又能瘦身,那我還需要辛苦運動、控制飲食嗎?
-
健康網》外帶食物放1小時「細菌飆8倍」 醫揭5習慣害中毒
2026/04/11 07:36高雄正義市場春捲事件後,日前新北市新店又傳出便當疑似食物中毒案,引發食安恐慌。很多人第一時間會懷疑是否店家不乾淨或食材有問題。對此,潤生復健科診所院長王竣平指出,其實,許多人外帶食物回家後的5個NG習慣,才是讓食物出問題的關鍵。尤其有些食物當下吃沒事,但若放一下或晚點吃,風險便提升。一旦進入「危險溫
-
以為減肥成功 6旬婦3個月爆瘦10公斤 竟是大腸癌3期
2026/04/11台中市1名60多歲的婦人,3個月瘦了10公斤,自己跟親友都以為她減肥成功,但因上廁所大便都不成形,肚子又脹又痛,到醫院就診大腸鏡檢查,發現腸子內有腫瘤塞住,罹患大腸癌第3期。醫師表示,患者從來沒有做過相關檢查,直到身體有異狀才就診,發現罹癌時已錯過黃金治療期。
-
心房顫動用藥更精準 台大開發AI模型預測「中風」準確率近9成
2026/04/11心房顫動為常見心律不整,也是引發腦中風的重要原因。病人使用抗凝血藥物可降低中風風險,卻可能增加腦出血、腸胃出血等副作用。台大醫院總院與新竹台大醫院組成跨領域研究團隊合作,蒐集近萬名心房顫動病人資料,開發出「可解釋性人工智慧(AI)」模型,協助醫師分析用藥利弊,不僅能預測風險,也可呈現各項危險因子的影
-
健康網》疝氣常見於男性 泌尿醫解析5風險:攝護腺肥大入列
2026/04/10 19:31泌尿科也會開疝氣?台中榮總泌尿醫學部主治醫師邱俊凱在臉書粉專「MysterUro 泌尿科 邱俊凱醫師」表示,答案是「可以的。」只要是受過外科完整訓練的醫師,理論上都能處理疝氣。不過臨床上,主要還是以一般外科與泌尿外科醫師為主。什麼是疝氣?邱俊凱表示,可以把腹部想成一個房間。我們的腹壁就像一堵牆,把腸
-
健康網》食品中毒頻傳 醫談8項食安隱憂:生蛋防沙門氏菌
2026/04/10 14:15近日各地食安事件頻傳,包含高雄正義市場的春捲食品中毒案影響近2百人;以及新北有連鎖便當店同樣影響上百人。婦產科醫師呂彥鋒在臉書粉專「婦產科裡的說書人 新光醫院 呂彥鋒醫師」表示,食安風險,往往不是單一環節出錯,而是從備料、烹調、保存到販售,每一個細節都可能出問題。像是廚師手上若有傷口,可能造成金黃色
-
丹麥研究發現大腸癌相關病毒 寄生於細菌細胞內
2026/04/10 13:45大腸癌是西方國家最常見癌症之一,也是癌症相關死亡主要原因。已知風險因素包括年齡、飲食和生活方式,但在許多情況下,疾病背後的確切生物學觸發機制仍未完全闡明。丹麥1項研究發現與大腸癌相關的病毒。此研究發表在《溝通醫學》期刊上。根據科學網站《SciTechDaily》報導,科學家多年來一直將一種名為「脆弱
-
健康網》23歲就有大腸腺瘤!醫談7預防法:別吃3食物
2026/04/10 13:18過去大眾對大腸癌認知,是好發於50歲以上;然近年不少醫師觀察以及統計發現,大腸直腸癌的發生,有年輕化趨勢。胃腸肝膽科醫師張靖在Thread「張靖醫師 減重專科。靖心靖力 守護胃腸」表示,最近幫一位23歲的年輕人,做大腸鏡並切掉瘜肉,病理化驗是「腺瘤」(adenoma)。張靖感嘆,該個案是我目前遇到最
